LLÁMANOS

2328-4500

dsfdsfds

HORARIO

Lun - Vie: 8:00 AM - 6:00 PM

Sáb: 7AM - 12PM 

LLÁMANOS

2328-4500

dsfdsfds

HORARIO

Lun - Vie: 8:00 AM - 6:00 PM

Sáb: 7AM - 12PM 

Llámanos

2328-4500

Horarios

Lunes - Viernes: 8AM a 6PM
Sábados: 7AM a 12PM

Transformamos Vidas a Través de Cada Sonrisa Especialistas en Ortodoncia Estética y Diseño de Sonrisa Te Hacemos Sonreír Ortodoncia Invisible y Diseños de Sonrisa Descubre Más Tu sonrisa también merece su mejor versión Ortodoncia De Calidad Para Toda la Familia Cada sonrisa cuenta una historia ¡Hagamos que la tuya brille! Mas Información Transformamos Vidas a Través de Cada Sonrisa Estética dental personalizada para resaltar tu belleza natural Con nuestros diseños de Sonrisa logramos armonía facial Descubre Más
Calidad comprobada, confianza garantizada

Nuestros Clientes

¿Qué Problemas Puedo Solucionar con Carillas Dentales?

Las carillas dentales son capas delgadas de porcelana, zirconio o resina compuesta que se utilizan para mejorar la apariencia de los dientes naturales, mejorando así la sonrisa y la autoestima de los pacientes.

Están diseñadas según la fisionomía de cada paciente para adaptarse perfectamente a cada diente, buscando siempre mantener una apariencia estética y natural.

¿Para qué Funcionan las Carillas Dentales?

Las carillas crean una sonrisa duradera y agradable para dientes severamente descoloridos, astillados o malformados. Además, este tratamiento dental es difícil de manchar, lo que las hace populares entre personas que buscan una sonrisa perfecta.

Evita el costoso y largo tratamiento ortodóntico y opta por las carillas dentales en su lugar. Nosotros colocamos series de 4, 6 u 8 carillas a los dientes frontales superiores o inferiores para disimular una sonrisa torcida.

Las Carillas Dentales son Ideales para Corregir:

  • Dientes manchados o descoloridos
  • Dientes rotos o astillados
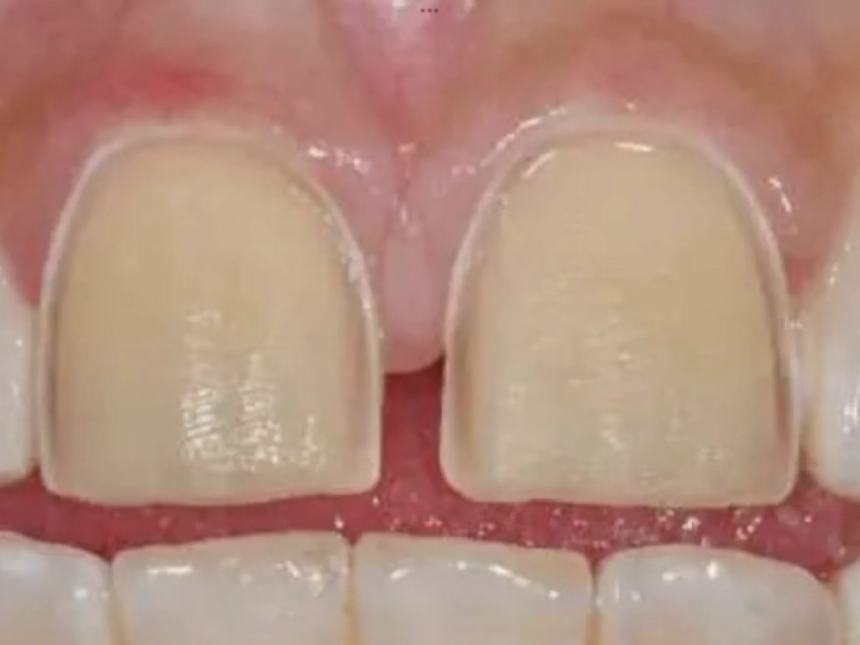
  • Dientes con espacios entre ellos
  • Dientes desiguales
  • Dientes malformados
  • Dientes que simplemente no se ven bien

Tipos de Carillas Dentales más Comunes

Actualmente, las carillas de porcelana son las más populares, habitualmente la mayoría de los pacientes nos visitan específicamente por este tipo de carilla. Sin embargo, es esencial que como paciente conozcas todas tus opciones y las características de cada una antes de tomar una decisión.

Carillas de Porcelana

Las carillas de porcelana son el tipo de carillas preferido en la mayoría de los casos debido a su versatilidad y la cantidad de imperfecciones cosméticas que pueden corregir. Es importante destacar que las carillas de porcelana no pierden color ni brillo con el tiempo y tienen una vida útil de 10 a 15 años.

Lumineers

Las carillas dentales Lumineers® son tan delgadas como una lente de contacto. Los Lumineers tienen 3 grandes ventajas: una apariencia verdaderamente natural, un desgaste mínimo en los dientes y pueden durar hasta 20 años. Sin embargo, no todos son candidatos para este tipo de carilla de porcelana.

Carillas de Resina Compuesta

Las carillas de resina compuesta son el tipo menos invasivo, ya que se colocan sobre los dientes naturales sin necesidad de desgaste. Además, las carillas de resina son la opción más económica. Por otro lado, sus debilidades son que son menos resistentes a las manchas y más frágiles que las carillas de porcelana.

Mantiene una sonrisa

El Procedimiento para Colocar Carillas Dentales

La primera parte de este proceso consiste en evaluar la condición actual de tus dientes para dar paso al diseño digital de tu sonrisa. Posteriormente, removeremos una pequeña parte de la superficie del diente (no más de 0.5 milímetros), lo que permitirá colocar adecuadamente las carillas. Durante tu primera visita, se tomará un escaneo de tus dientes para que nuestro laboratorio interno pueda fabricar tus carillas según el diseño. Dependiendo del caso, te colocaremos carillas temporales, en donde podrás visualizar el resultado final del diseño (forma, tamaño y color).

La segunda fase consiste en probar y colocar las carillas finales. Una vez que las apruebes, colocaremos un cemento especial en tus dientes preparados sobre el cual se colocarán las carillas. Una de las ventajas que ofrecemos en Fits Dental es la optimización de los tiempos de trabajo. Por lo general, la colocación de las carillas se realiza en 3 visitas, pero dependiendo del caso y el itinerario, se puede reducir a 2 visitas.

1. Evaluación Dental y Planificación
2. Anestesia y Preparación Dental
3. Impresión y Fabricación De Carillas
4. Prueba y Cementación

¡Carillas, Coronas y Puentes en Menos de 2 Días!

En nuestra clínica dental, la excelencia se combina con la eficiencia. Gracias a nuestro laboratorio interno y la última tecnología, ofrecemos carillas, coronas y puentes personalizados en menos de 48 horas. Nuestra avanzada tecnología, que incluye diseño asistido por computadora (CAD) y fabricación asistida por computadora (CAM), garantiza restauraciones precisas y de alta calidad que se ajustan perfectamente a tus necesidades. 

Esto significa que puedes disfrutar de la sonrisa que siempre has deseado en tiempo récord, sin sacrificar la excelencia en la atención. Tu sonrisa merece lo mejor, y estamos aquí para entregártelo. ¡Contáctanos hoy y descubre cómo podemos transformar tu sonrisa en menos de dos días!

Nuestra Gama de Servicios Estéticos

Blanqueamiento Dental

Dile adiós a las manchas y decoloraciones. Nuestros avanzados procedimientos de blanqueamiento dental garantizan que tu luzcas una sonrisa más brillante y blanca en poco tiempo.

Carillas de Porcelana

Las carillas son láminas delgadas elaboradas con porcelana de alta calidad, están hechas a la medida para cubrir la superficie frontal de los dientes, garantizando una apariencia natural y una sonrisa impecable.

Coronas Estéticas

Las coronas personalizadas restauran la forma, el tamaño y la función de un diente, logrando un aspecto natural y duradero.

Alineadores Invisibles

Despídete de los aparatos tradicionales. Los alineadores transparentes ofrecen una solución discreta y moderna para enderezar los dientes, garantizando una interferencia mínima en tu vida diaria.

Sustitución Dental

Desde implantes hasta puentes, nuestras soluciones de sustitución de dientes están diseñadas para restaurar tanto la función como la estética a la perfección.

Cambio de Sonrisa

Una evaluación y un cambio de imagen exhaustivos, diseñados para transformar la estética y la función de tu sonrisa hasta alcanzar la perfección.

Galería de Sonrisas

Nuestra Gama de Servicios Estéticos

Tecnología Avanzada

Creemos en la fusión de la tradición con la innovación. Nuestra Implementación de tecnología dental moderna garantiza tratamientos precisos, rápidos y eficientes. Desde la tecnología de implantes de fabricación suiza hasta las rápidas técnicas de restauración, estamos a la vanguardia de los avances dentales.

Precios Transparentes y Accesibles

La atención dental de calidad no debería ser un lujo. Ofrecemos precios competitivos sin comprometer la calidad del servicio, garantizando que todo el mundo pueda acceder a soluciones odontológicas de alto nivel.

Odontología Holística

Desde medidas preventivas hasta procedimientos quirúrgicos avanzados, nuestros servicios cubren todas las necesidades odontológicas. Nuestro enfoque holístico te garantiza que estás en buenas manos, sea cual sea tu necesidad.

Diferencias entre las Carillas y las Coronas Dentales

Si has llegado hasta aquí, probablemente tengas curiosidad acerca de las diferencias entre las coronas dentales y las carillas. Ambos tratamientos pueden mejorar la apariencia de tus dientes, pero hay algunos factores importantes a considerar al elegir entre ellos.

 

Coronas Dentales

Son como cubiertas o cascos que se colocan sobre los dientes dañados para protegerlos y restaurarlos. Son resistentes y duraderas, lo que las convierte en una excelente opción para los dientes que necesitan mucho trabajo.

Carillas

Son láminas delgadas que cubren la parte frontal de tus dientes para darles un nuevo aspecto. Son ideales para corregir problemas menores como decoloración o astillas, y pueden hacer que tu sonrisa luzca más hermosa y uniforme.

En última instancia, la mejor opción de tratamiento para ti dependerá de tus necesidades y objetivos únicos.

Preguntas Frecuentes

La odontología cosmética se centra en procedimientos y tratamientos que mejoran el aspecto de los dientes y la sonrisa, combinando estética y funcionalidad para obtener resultados óptimos.

Aunque el objetivo principal es la mejora estética, muchos procedimientos estéticos también mejoran la salud y la funcionalidad bucal, como la corrección de problemas de mordida o la reposición de dientes ausentes.

Más allá de una bonita sonrisa, la odontología estética puede aumentar la confianza en uno mismo, mejorar la salud bucal, mejorar la función dental y ofrecer soluciones a diversos problemas dentales.

La durabilidad de los resultados varía según el procedimiento. Por ejemplo, el blanqueamiento dental puede requerir retoques, mientras que las carillas de porcelana pueden durar décadas con los cuidados adecuados.

Muchos planes de seguros consideran que los procedimientos cosméticos son electivos y podrían no cubrirlos. Es esencial consultar con tu proveedor de seguros y nuestra oficina para tu aclaración.

Las técnicas modernas y las opciones de sedación garantizan la comodidad de la mayoría de los procedimientos estéticos. Cualquier molestia posterior al tratamiento suele ser mínima y manejable.

La durabilidad de los resultados varía según el procedimiento. Por ejemplo, el blanqueamiento dental puede requerir retoques, mientras que las carillas de porcelana pueden durar décadas con los cuidados adecuados.

Ambas mejoran el aspecto del diente, pero las carillas Lumineers son más finas que las carillas de porcelana y requieren una menor eliminación del esmalte, lo que hace que el procedimiento sea menos invasivo.

La mayoría de las personas pueden beneficiarse de la odontología estética. Sin embargo, una consulta inicial determinará los procedimientos adecuados basados en la salud oral individual y los resultados deseados.

Elegir un dentista estético con experiencia, comprender el procedimiento, tener expectativas realistas y seguir las recomendaciones de cuidados postratamiento son la clave para obtener unos resultados óptimos.

Nuestro objetivo es lograr resultados de aspecto natural que complementan tu apariencia general. Los procedimientos correctamente ejecutados ofrecen mejoras sutiles pero transformadoras.